Egg freezing, also known as oocyte cryopreservation is a method used to preserve a womans ability to conceive in the future. Eggs are extracted from the ovaries during a minor procdure and frozen for later use.
Process of Egg Freezing
Here is what to expect:
(45-60 minutes)
Meeting with a reproductive endocrinologist (REI) to dicuss medical history, review the process of egg freezing and expectations.
(~30min)
Blood Testing done between day 2-4 of menstrual cycle: AMH
(anti-MĂĽllerian hormone-indicator of ovarian resevere) FSH
(Follicle-Stimulating Hormone-controls menstrual cycle and egg
production), E2 (Estradiol-hormone produced by the ovary,helps lead to
ovulation), LH (Luteinizing Hormone- linked to ovarian hormone
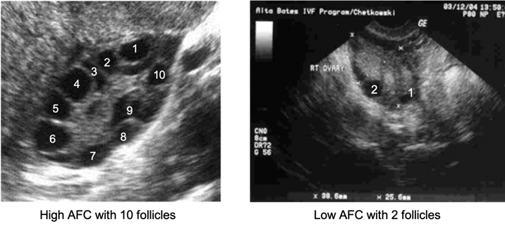
productions and egg maturation). Transvaginal ultrasound to asess
Basal Antral Follicle Count (BAFC-Number of antral follicles you have
is indicative of the number of eggs you could potentially retrieve)
(Up to 2 hours)
Most medications used stimulate the ovaries are injected subcutaneously (just under the skin). The process of self-administering injectable medications can seem scary at first but many resources are available to assist you. Learn how to inject medications
Follicle-stimulating hormone, a naturally occurring hormone in the body, promotes the growth of the ovarian follicles that contain eggs. During an egg freezing cycle he goal is to produce as many eggs as you healthfully can, increasing the chances of having a successful pregnancy when you are ready to conceive. FSH injections are used get your ovaries to produce multiple mature eggs, instead of the single egg typically ovulated in a menstrual cycle. Follistim/Gonal-F come in pen form like an EpiPen, to make it easy to inject the medication. FSH medication is normally started between day 2 or 3 of your period and is injected daily for between 8–11 days, depending on the body’s response to the medication.
Menotropin is a combination hormonal medication that contains both FSH and luteinizing hormone (LH). LH works with FSH to help stimulate egg production in the follicles and to prompt ovulation. Menopur is typically begun day 2 or 3 of your period and continued for 8–11 days. Menopur requires mixing powder with sodium chloride fluid to reconstitute the medication, which is injected using a syringe. When injected menopur tends to cause a burning sensation that lasts a few seconds. Do not be surprised if it stings a little during and after the injection.
GnRH-antagonists, or just “antagonists,” work to prevent you from ovulating early by blocking certain hormones in the pituitary gland. This helps time your cycle so your body will release mature eggs just before the egg retrieval—instead of releasing them prematurely. Antagonists are typically injected once daily, beginning about half or two-thirds of the way through your cycle. The great news is this medication comes as pre-filled syringes! Bad news is it requires a little more pressure when inserting the needle into the skin since the needle is blunter.
Lupron is taken between 36-38 hours before the egg retrieval. This medication acts as a “trigger” to initiates the final egg maturation within the follicles on the ovary. This medication is in a class called gonadotropin-releasing hormone (GnRH) agonists. It talks to the pituitary gland in the brain to stop producing luteinizing hormone and stimulates the ovaries to release estrogen to help with the process of ovulation. It is extremely important that this medication is taken at the exact time instructed by your care team.
This is an alternative trigger medication which prompts your body to complete egg maturation process. Most of these brands come as a single pre-filled syringe. Again, it’s critical that the hCG trigger be taken at the exact time instructed. It also it not uncommon to complete a “dual trigger” of both Lupron and hCG to help aid it the final maturation of the follicles prior to egg retrieval.
(8-12 days)
You will administer daily hormone injections to stimulate the ovaries. Your progress is monitored every few days using blood test and ultrasound. These visits usually last 20-30min. Your doctor will review your labs and ultrasound to determine your next steps. Sometimes you will be asked to go up or down on certain medications based on your lab results.
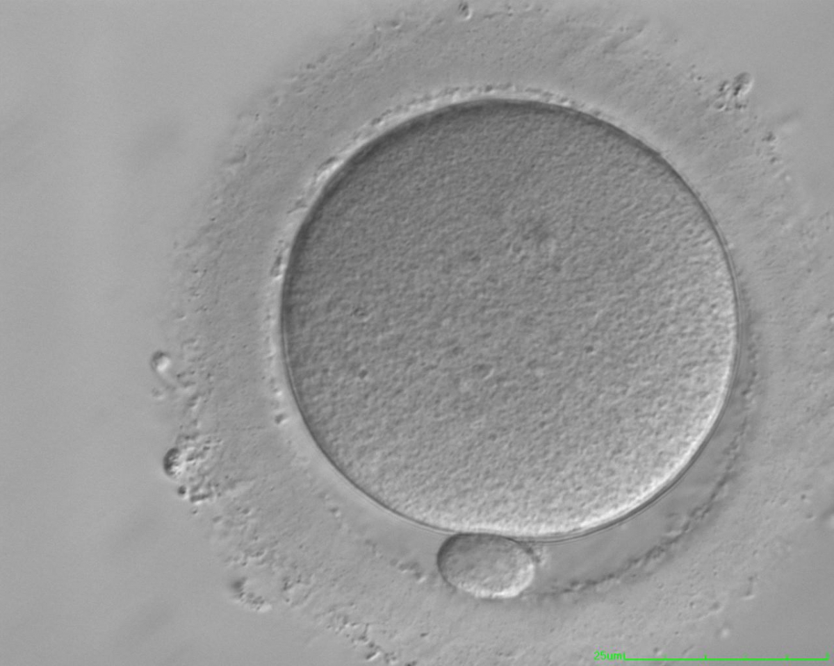
The retrieval of oocytes is done during a ~15 min procedure under IV
sedation. A transvaginal ultrasound is inserted into the vagina to
locate ovarian follicles. A needle is then guided through the vaginal
wall into each follicle to remove the follicular fluid which contains
the egg. The follicular fluid is then examined under a microscope by
an embryologist to identify the eggs
oocytes (eggs) are frozen using the process of vitrification. Oocytes are exposed to increasingly higher concentrations of a cryoprotectant to allow rapid dehydration of the cells. These cryoprotectants prevent ice crystals from forming within the egg. The eggs are then loaded onto a straw and flash frozen in liquid nitrogen. The eggs will remain frozen in storage until you are ready to use them.
Coded by Amie Becker
Additional Resources: